Smile Gallery
Batavia Family Dental is devoted to helping patients love and be proud of their smiles. Serving our community since 2006, your comfort and happiness is our priority and we’ve helped patients achieve both with dental reconstruction services.
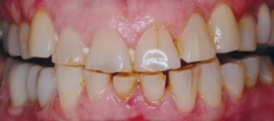
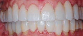
Smile Reconstruction
This patient had been relying on a partial denture for most of his life, which impacted his smile and ability to chew effectively. We created a full-arch restoration to provide a long-lasting solution and reconstructed his smile to rejuvenate its appearance and functionality.

Before

After
Full-Mouth Reconstruction
This patient had severely worn teeth as a result of TMJ issues. By restoring the alignment and obstruction of her teeth, we alleviated strain and our patient experienced immediate improvement in her headaches.

Before

After
